Spoedgeval?
Bel 06-206 362 85
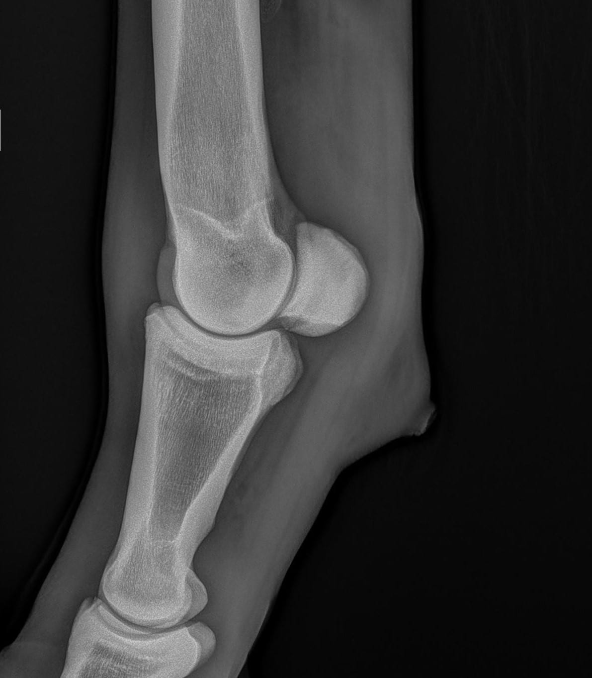
Röntgen
Een röntgenapparaat kan met behulp van röntgenstralen foto’s maken van de binnenkant van het lichaam. Vanwege hun doordringende vermogen kan met name het skelet op die manier goed bekeken worden, maar ook andere organen zoals de longen.
Toepassingen van röntgenonderzoek
Bij onderzoek naar een stoornis aan het bewegingsapparaat wordt röntgen intensief gebruikt. Röntgenonderzoek laat veranderingen zien zoals kreupelheid, fracturen, botontstekingen en standsafwijkingen. Ook aanhechtingsproblemen van pezen en banden met botafwijkingen zijn in beeld te brengen. Daarnaast wordt röntgenonderzoek gebruikt bij problemen aan het hoofd en het gebit. Bij onderzoek naar problemen aan de luchtwegen kunnen röntgenfoto’s gebruikt worden voor het stellen van een diagnose. Voor een röntgenonderzoek wordt het paard onder lichte verdoving gebracht, zodat deze keurig stil staat en minder onder de indruk is van alle apparatuur. Om problemen in beeld te brengen zijn vaak meerdere röntgenfoto’s van dezelfde locatie noodzakelijk.

